Phone (816) 453-2700 Fax (816) 453-9943
TALK TO US
E-MAIL
social
LOCATION

© 2026 All Rights Reserved. Privacy Policies. Made by WebDebSites.

Bone Density

© 2024 All Rights Reserved. Privacy Policies. Made by WebDebSites.

TALK TO US
E-MAIL
social
LOCATION

Contrast-Enhanced

Mammography (CEM)

We are in the business of helping others. We offer high-quality imaging services with state-of-the-art technology. Most importantly, all patients will receive their CEM exam results before they leave our office.

Contrast-Enhanced

Mammography (CEM)

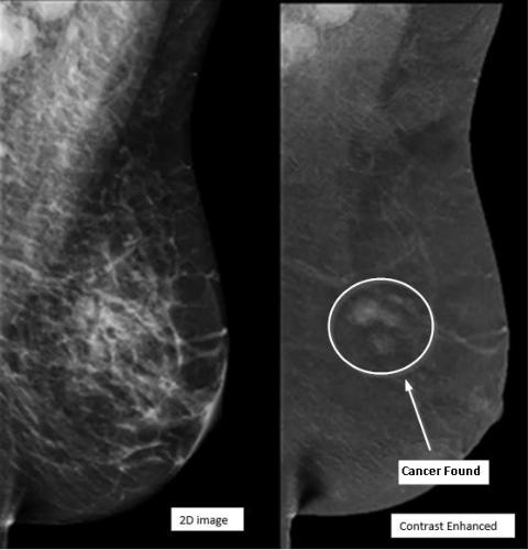
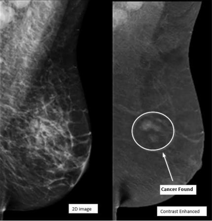
Contrast-Enhanced Mammography (CEM) provides exceptional clarity to find breast cancers that may not be visible in traditional mammography. CEM may be recommended by our breast radiologists as a supplemental cancer screening for elevated or high-risk patients (lifetime risk of breast malignancy greater than 15%) or to better assess the extent of malignancy prior to treatment. It can also be utilized as an alternative to breast MRI that delivers a fast, more cost-effective diagnosis.
Contrast-Enhanced Mammography is performed like a traditional mammogram with the addition of intravenous contrast - the same iodinated contrast that is used for a CT exam. Using IV contrast helps highlight areas of increased blood flow in the breast, which can be a sign of cancer. The CEM exam is performed in one of the mammography suites by a specially trained mammogram technologist and takes less than 10 minutes to complete. As contrast can affect renal function for patients over 60, diabetic patients, and some patients with hypertension, we will assess their renal function prior to scheduling. All patients will receive their CEM exam results before they leave our office.

COMMITTED TO

PROVIDING THE BEST

HEALTHCARE.

IMAGING FOR WOMEN

We offer high-quality imaging services with state-of-the-art technology. Most importantly, your results will be given to you before you leave our office. We are devoted to high-quality imaging services for our patients as well as our referring providers. We strive to create the best experience for our patients.
Ultrasound uses sound waves to view structures within the body in real time. Complete evaluation, recommendations, and results are discussed with you by our radiologists before you leave the office. The report of your exam is issued to your healthcare provider typically within one hour of your exam.
At Imaging for Women, our state-of-the-art mammography unit allows you to control your own compression, creating a gentler, often pain-free, mammogram experience.
More Information More Information More Information More Information
A bone density scan, or DEXA scan, is a simple, non- invasive and painless exam used to measure bone mass in areas such as your spine, hip, and wrist and is used to detect osteoporosis.
More Information More Information

biopsies

The results of the biopsy may take up to a week. A consultation appointment is scheduled one week after your biopsy exam in order to have time with the radiologist to review all results in detail and address questions and concerns with you.
More Information More Information